Precision Research
Compounds.
Microbial Metabolite Discovery & Purification
High-purity research compounds from Canadian soil microorganisms. Advanced analytical characterization with full documentation.
Our Mission
Providing high-purity research compounds derived from microorganisms isolated from the Canadian environment, with complete analytical documentation and quality assurance.
Tired of missing documentation?
Get full transparency. Every order includes a detailed Certificate of Analysis and complete Safety Data Sheets.
No 3-week overseas waits
Based in Edmonton, Canada. We offer rapid, reliable North American shipping and highly responsive support.
Demanding purity requirements?
Our compounds are independently verified for >95% purity, ensuring consistent, reproducible research results.
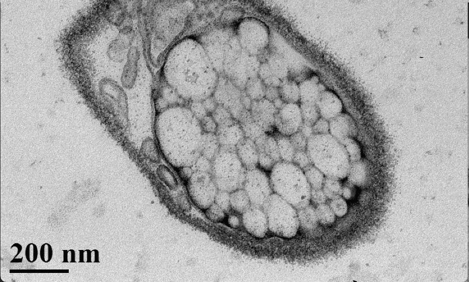
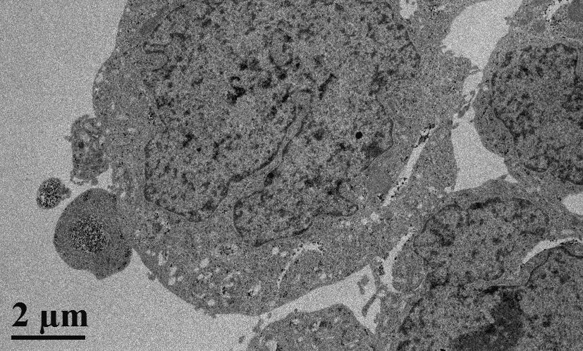
The Canadian Microorganism Advantage
Founded in 2021 in Edmonton, Alberta, InVitvo Pharmaceuticals was built on a unique realization: the Canadian soil microbiome represents a vast, largely untapped reservoir of pharmacologically active secondary metabolites.
By isolating and purifying compounds directly from these specialized environmental niches, we bypass the supply chain vulnerabilities of traditional overseas sourcing. Our expert team leverages advanced chromatography and mass spectrometry to deliver research compounds like Terrein at >95% purity—empowering local and international researchers with reliable, reproducible materials.
How Ordering Works
Simple, professional procurement process for research institutions
Submit RFQ
Complete the Request for Quotation form with your product selection and shipping details
Receive Quote
Our team will provide a formal quotation within 1-2 business days
Confirm Order
Approve the quote and submit payment or purchase order to confirm your order
Receive Shipment
Products shipped with COA and SDS. Standard lead time is 5-10 business days
Ready to order? Get a quote in under 2 minutes.
Why Researchers Choose Us
Trusted by academic and industrial labs across North America
Procurement departments and lead researchers rely on InVitvo Pharmaceuticals for our transparent documentation, uncompromised purity, and rapid shipping times. We bridge the gap between niche natural product discovery and reliable commercial supply.
- Independently verified >95% purity
- Immediate dispatch for in-stock compounds
- Dedicated scientific support team
Who We Serve
Academic Institutions
University labs and PIs requiring consistent, high-purity compounds for reproducible biological studies.
Pharmaceutical R&D
Biotech firms and researchers utilizing unique metabolites for assay development and pre-clinical models.
Contract Research (CROs)
Organizations needing a reliable North American supply chain without unpredictable overseas shipping delays.
Research Pipeline
Our current research focuses on the synthesis and characterization of novel Terrein prodrugs. Preclinical studies have demonstrated promising pharmacokinetic and pharmacodynamic (PKPD) properties. Biological activity has been reported in peer-reviewed literature, including potential applications in cancer research models.
Note: Research compounds are provided for laboratory investigation only. Reported biological activities are based on preclinical studies and peer-reviewed literature. Products are not intended for therapeutic use.
InVitvo Pharmaceuticals welcomes collaboration inquiries from academic institutions and industry partners interested in natural product research.



Frequently Asked Questions
Common inquiries from our research partners